「歯磨きの時に血が出る」「歯茎が腫れている」といった症状を、つい放置していませんか?これらは歯周病の初期サインかもしれません。歯周病は単に歯を失う原因となるだけでなく、全身のさまざまな疾患とも深く関わっていることが、近年の研究で明らかになってきました。
この記事では、歯周病のメカニズムと全身への影響、そして科学的根拠に基づいた効果的な予防法について、歯科医師の視点から詳しく解説します。
歯周病の進行プロセスと
症状の変化

歯周病は、歯を支える組織が細菌感染によって破壊される疾患です。初期段階から重度まで、段階的に進行していきます。
歯肉炎から歯周炎への移行
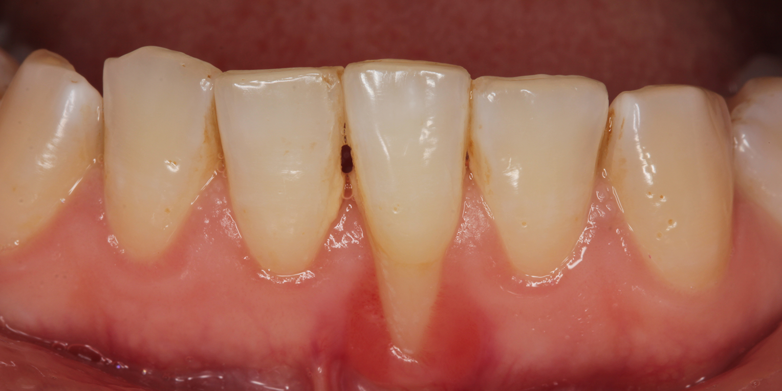
歯周病の始まりは「歯肉炎」です。歯と歯茎の境目に付着したプラーク(歯垢)の中には、1mgあたり約10億個もの細菌が存在します。これらの細菌が産生する毒素によって歯茎に炎症が起こり、赤く腫れたり、出血しやすくなったりします。
この段階では、歯を支える骨はまだ破壊されていません。適切なブラッシングとクリーニングによって、健康な状態に回復させることができます。しかし、歯肉炎を放置すると、炎症が歯茎の奥深くまで進行し、「歯周炎」という状態に移行します。
歯周炎では、歯と歯茎の間に「歯周ポケット」という深い溝が形成されます。健康な状態では、この溝の深さは1〜3mm程度ですが、歯周炎が進行すると4mm以上になり、重度では10mm以上に達することもあります。深いポケットの中は酸素が少ない環境となり、酸素を嫌う「嫌気性細菌」と呼ばれる歯周病菌が増殖しやすくなります。
骨破壊のメカニズム
歯周病の最も深刻な影響は、歯を支える骨(歯槽骨)の破壊です。歯周病菌が産生する「リポ多糖」という毒素や、「プロテアーゼ」という酵素が、歯茎の組織を直接破壊します。同時に、体の免疫システムが細菌と戦うために炎症反応を起こしますが、この反応が過剰になると、逆に自分の組織まで破壊してしまいます。
具体的には、「破骨細胞」という骨を溶かす細胞が活性化され、歯槽骨が徐々に失われていきます。この過程で「TNF-α」や「IL-1β」といった炎症性サイトカインと呼ばれる物質が大量に産生されます。これらの物質は局所の炎症を悪化させるだけでなく、血流に乗って全身に運ばれ、さまざまな全身疾患に影響を与えることが分かってきました。
歯周病による骨破壊は、一度進行すると自然に元に戻ることはありません。そのため、歯周病が進行する前の早期発見と治療が極めて重要になります。
歯周病と全身疾患の密接な関係

歯周病は口の中だけの問題ではありません。近年の研究により、全身のさまざまな疾患との関連が科学的に証明されています。
心臓血管系への影響
歯周病と心臓血管疾患の関連は、多くの研究によって示されています。歯周病患者は、健康な人と比較して心筋梗塞や狭心症を発症するリスクが約1.5〜2倍高いことが報告されています。
そのメカニズムとして、歯周病菌や炎症性物質が血流に入り込み、血管の内側の壁を傷つけることが挙げられます。傷ついた部分にはコレステロールなどが沈着しやすくなり、「アテローム性動脈硬化」という状態が進行します。実際に、心臓の血管から摘出した動脈硬化病変の中から、歯周病菌のDNAが検出されたという報告もあります。
また、歯周病による慢性的な炎症は、血液中の「CRP」という炎症マーカーの値を上昇させます。CRPの高値は心血管疾患のリスク因子として知られており、歯周病治療によってCRP値が低下することも確認されています。
糖尿病との双方向の関係
歯周病と糖尿病は、互いに悪影響を及ぼし合う「双方向の関係」にあります。糖尿病患者は健康な人と比べて歯周病にかかりやすく、また歯周病の進行も早いことが知られています。これは、高血糖状態が続くと免疫機能が低下し、細菌感染に対する抵抗力が弱まるためです。
一方、歯周病があると血糖値のコントロールが悪化することも分かっています。歯周病による慢性炎症によって産生されるTNF-αなどの炎症性サイトカインは、インスリンの働きを妨げる作用があります。インスリンは血糖を下げるホルモンですが、その効きが悪くなる「インスリン抵抗性」という状態が起こると、血糖値が上昇しやすくなります。
興味深いことに、歯周病治療を行うと、糖尿病患者のHbA1c(ヘモグロビンエーワンシー)という血糖コントロールの指標が平均0.4〜0.6%低下することが複数の研究で示されています。これは、糖尿病の治療薬を追加した場合と同程度の効果です。
誤嚥性肺炎のリスク
高齢者の死因として増加している「誤嚥性肺炎」も、歯周病と深く関わっています。誤嚥性肺炎とは、食べ物や唾液が誤って気管に入り込み、その中の細菌が肺で増殖して起こる肺炎です。
口の中の細菌、特に歯周病菌は、唾液とともに気管に入り込むリスクがあります。通常は咳反射によって異物が排出されますが、高齢になると飲み込む機能や咳反射が低下するため、細菌が肺に到達しやすくなります。実際に、誤嚥性肺炎患者の肺から検出される細菌の多くは、口腔内の細菌と一致することが分かっています。
口腔ケアを適切に行うことで、高齢者施設入所者の肺炎発症率が約40%減少したという研究結果もあります。歯周病の治療と日常的な口腔ケアは、誤嚥性肺炎の予防にも有効なのです。
妊娠への影響
妊娠中の女性が歯周病を患っていると、早産や低体重児出産のリスクが高まることが報告されています。歯周病のない妊婦と比較して、リスクは約2〜7倍になるという研究もあります。
このメカニズムとして、歯周病による炎症性物質が血流を通じて子宮に到達し、子宮収縮を促す「プロスタグランジン」という物質の産生を促進することが考えられています。プロスタグランジンは本来、出産時に子宮収縮を引き起こす重要な物質ですが、妊娠中に過剰に産生されると早産につながる可能性があります。
妊娠を考えている方、または妊娠中の方は、歯周病の検査と治療を受けることが推奨されます。ただし、妊娠中期(妊娠16〜28週)が最も安全に歯科治療を受けられる時期とされています。
科学的根拠に基づく
歯周病予防の実践法

歯周病は予防可能な疾患です。ここでは、研究によって効果が実証されている予防法を紹介します。
効果的なブラッシング法とフロスの重要性
歯周病予防の基本は、プラークを毎日確実に除去することです。プラークは細菌の塊で、形成されてから24〜48時間で成熟し、病原性が高まります。そのため、最低でも1日1回は丁寧にプラークを除去する必要があります。
効果的なブラッシング法として推奨されるのが「バス法」です。歯ブラシを歯と歯茎の境目に45度の角度で当て、小刻みに振動させながら磨きます。この方法により、歯周ポケットの入り口付近のプラークも除去できます。力を入れすぎると歯茎を傷つけるため、150〜200g程度の軽い力(歯ブラシの毛先が広がらない程度)で磨くことが重要です。
しかし、歯ブラシだけでは歯と歯の間のプラークは除去できません。研究によると、歯ブラシのみの場合、口腔内全体の約60%しか清掃できていないことが分かっています。歯と歯の間は歯周病が最も発生しやすい部位であり、この部分の清掃にはデンタルフロスや歯間ブラシが不可欠です。
デンタルフロスは、歯と歯が密着している部位に適しています。フロスを歯と歯の間に挿入したら、歯の側面に沿ってC字型に曲げ、上下に動かしながら清掃します。歯間ブラシは、歯と歯の間に隙間がある部位に適しており、サイズは隙間に合わせて選びます。小さすぎると効果が不十分で、大きすぎると歯茎を傷つけるため、適切なサイズ選びが重要です。
定期的な専門的クリーニングの効果
毎日のセルフケアに加えて、歯科医院での定期的なプロフェッショナルケアが歯周病予防には欠かせません。歯ブラシやフロスでは除去できない歯石を取り除くことができるからです。
歯石とは、プラークが唾液中のカルシウムやリンと結合して石のように硬くなったものです。歯石の表面はざらざらしているため、さらにプラークが付着しやすくなり、歯周病を悪化させる要因となります。特に歯茎の下に形成される「歯肉縁下歯石」は、病原性の高い歯周病菌の温床となります。
専門的クリーニングでは、「スケーリング」という処置で歯石を除去し、「ルートプレーニング」という処置で歯根の表面を滑らかにします。また、「PMTC(Professional Mechanical Tooth Cleaning)」という方法では、専用の器具とペーストを使用して、歯の表面に付着したバイオフィルムを徹底的に除去します。
研究によると、3〜6ヶ月ごとの定期的なメンテナンスを受けている人は、受けていない人と比較して、歯周病の進行を80%以上抑制できることが示されています。また、メンテナンスを継続することで、80歳で平均20本以上の歯を保つことができるという長期的なデータもあります。
生活習慣の改善と栄養管理
歯周病のリスクは、生活習慣によっても大きく影響を受けます。特に重要なのが禁煙です。喫煙者は非喫煙者と比較して、歯周病にかかるリスクが2〜8倍高いことが報告されています。
タバコに含まれるニコチンは血管を収縮させるため、歯茎への血流が減少し、免疫細胞や酸素の供給が不足します。その結果、細菌に対する抵抗力が低下し、歯周病が進行しやすくなります。また、喫煙によって歯茎の出血が抑えられるため、歯周病の進行に気づきにくくなるという問題もあります。
栄養面では、ビタミンCやビタミンD、カルシウムが歯周組織の健康維持に重要です。ビタミンCはコラーゲンの合成に必要で、不足すると歯茎が弱くなり出血しやすくなります。ビタミンDとカルシウムは骨の健康に不可欠で、不足すると歯槽骨の破壊が進みやすくなります。
また、慢性的なストレスも歯周病のリスク因子です。ストレスによってコルチゾールというホルモンが増加すると、免疫機能が抑制され、歯周病菌に対する抵抗力が低下します。適度な運動や十分な睡眠など、ストレス管理も歯周病予防の一環として重要です。
歯周病治療後の
再発防止と長期管理

歯周病治療が終了した後も、継続的な管理が必要です。歯周病は再発しやすい疾患であり、治療後のケアを怠ると再び進行してしまいます。
SPT(サポーティブペリオドンタルセラピー)の重要性
歯周病の治療が一段落した後は、「SPT」と呼ばれる継続的な管理プログラムに移行します。SPTでは、1〜3ヶ月ごとに歯科医院を受診し、歯周ポケットの深さや出血の有無、プラークの付着状態などをチェックします。
このような定期的なモニタリングによって、再発の兆候を早期に発見し、悪化する前に対処することができます。研究によると、SPTを継続している患者は、継続していない患者と比較して、歯を失うリスクが6分の1程度に減少することが示されています。
当院では予防歯科を重視しており、治療が終わった後も再発しないよう、一人ひとりの状態に合わせた定期管理プログラムを提供しています。一度良くなった状態を維持し、長期的に口腔の健康を守ることを目指しています。
歯科用CTによる骨量の評価
歯周病による骨破壊の程度を正確に把握するには、歯科用CTが有効です。従来のレントゲン写真では平面的な画像しか得られませんが、CTでは骨の立体的な形態や残存量を詳細に評価できます。
特に重度の歯周病患者では、将来的にインプラント治療が必要になる可能性も考慮し、骨の状態を三次元的に記録しておくことが重要です。当院では歯科用CTを完備しており、精密な診断に基づいた治療計画の立案が可能です。
全身疾患との連携管理
歯周病と全身疾患の関連が明らかになってきた現在、医科と歯科の連携がますます重要になっています。特に糖尿病や心臓病などの持病がある方は、かかりつけの医師と歯科医師が情報を共有し、総合的に健康管理を行うことが理想的です。
歯周病治療によって全身の健康状態が改善する可能性もあるため、定期的な歯科検診は全身の健康維持の一環として捉えることができます。
よくある質問
Q.歯周病は何歳くらいから注意が必要ですか?
歯周病は年齢とともに増加する傾向がありますが、若い世代でも発症することがあります。統計によると、30代で約3人に1人、40代で約2人に1人、50代以降では半数以上が歯周病にかかっているとされています。特に「侵襲性歯周炎」という急速に進行するタイプは、10代後半から30代の若年層に発症することもあります。
そのため、年齢に関わらず、20代から定期的な歯周病検査を受けることが推奨されます。歯茎からの出血や腫れ、口臭などの初期症状があれば、年齢を問わず早めに歯科医院を受診してください。
Q.歯周病は遺伝しますか?
歯周病そのものが遺伝するわけではありませんが、歯周病へのかかりやすさには遺伝的要因が関与していることが分かっています。免疫応答の個人差や、歯周病菌に対する感受性には遺伝子が影響しており、特定の遺伝子型を持つ人は歯周病が重症化しやすいことが報告されています。家族に重度の歯周病患者がいる場合は、自分自身もリスクが高い可能性があるため、より注意深いケアと定期検診が重要です。
ただし、遺伝的要因があっても、適切な口腔ケアと生活習慣によって予防や進行抑制は十分に可能です。
Q.歯周病の治療は痛いですか?
歯周病の基本的な治療であるスケーリングやルートプレーニングは、歯茎に麻酔をすることで痛みを最小限に抑えて行うことができます。表面的な歯石除去であれば麻酔なしでも可能なことが多いですが、歯茎の下の深い部分の歯石を取る場合は麻酔をして行います。治療後は歯茎がしみたり、一時的に知覚過敏のような症状が出たりすることがありますが、通常は数日から1週間程度で落ち着きます。
重度の歯周病で外科治療が必要な場合も、適切な麻酔と術後の痛み止めによって、痛みはコントロール可能です。痛みへの不安が強い場合は、遠慮なく歯科医師に相談してください。
Q.歯周病治療をすると歯茎が下がってしまうと聞きましたが本当ですか?
歯周病治療後に歯茎が下がったように見えることは確かにあります。しかし、これは治療によって歯茎が下がったのではなく、治療前に炎症で腫れていた歯茎が健康な状態に戻り、本来の位置に引き締まったためです。歯周病によって失われた骨は元に戻らないため、治療後は歯が長く見えたり、歯と歯の間に隙間ができたりすることがあります。これは歯周病の進行度合いを反映しており、治療が成功した証でもあります。
見た目の変化が気になる場合は、治療後にセラミックなどで歯の形態を修正する審美治療も可能ですので、相談してください。
Q.電動歯ブラシは手磨きより効果的ですか?
電動歯ブラシと手磨きの効果を比較した研究では、どちらも適切に使用すれば同等の清掃効果が得られることが示されています。ただし、電動歯ブラシには「正しいブラッシング技術を習得しやすい」「短時間で効率的に磨ける」「手の動きが制限される高齢者や障害のある方でも使いやすい」といった利点があります。特に「音波式」や「超音波式」の電動歯ブラシは、毛先が届きにくい部分のプラーク除去にも効果的です。
一方で、電動歯ブラシを使用する際は、力を入れすぎないこと、1本ずつ丁寧に当てること、定期的にブラシヘッドを交換することが重要です。どちらを選択するにしても、デンタルフロスや歯間ブラシとの併用は必須です。