2022.12.15

銀歯が取れた

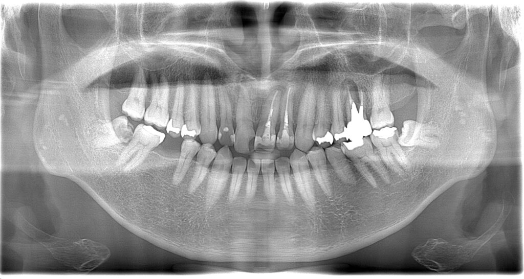
こんにちは。今日は銀の詰め物取れた方が来られました。詰め物はなくして少ししみるという事でした。

昔は歯の噛む面の虫歯も銀歯で修復している事が多かったですが、今は小さな範囲は白い修復物で仕上げる事が一般的です。

取れたその日に修復して終わりました。費用は3000円程度でした。

たまたま予約が空いていたのですぐに治療に入れましたが、口腔内の炎症の状態によってはお掃除をしてから治療に入る事が一般的なので、お困りの際は是非相談してください。

志木駅前歯医者・コスモクリニック

院長川村英史

治療期間 1日
費用 保険診療
治療後のリスク 治療後にしみることがある・治療中に痛みが出ることがある

この記事を監修した人

埼玉志木駅前歯医者・矯正歯科 コスモクリニック院長 川村 英史

埼玉志木駅前歯医者・矯正歯科
コスモクリニック 院長

院長の川村は、一般歯科からインプラントなどの専門的な治療まで幅広く診療を行い、地域の皆様の口腔健康をサポートしています。東北大学を卒業後、日本最大のクリニックで臨床経験を積み、2016年に志木駅前歯医者コスモクリニックを開院。患者様一人ひとりに寄り添い、丁寧な説明と安心できる治療を心がけています。インプラント寺子屋2022での講演や、WHITE CROSSでの「インプラント治療におけるデジタルとアナログの融合」など講演活動にも積極的に取り組み、著書「最強の臨床術」も執筆。予防歯科を重視した質の高い歯科医療の提供を通じて、地域に貢献する医療を提供できるよう努めております。

Clinic information

埼玉志木駅前歯医者・矯正歯科
コスモクリニック 本院
志木駅から徒歩1分
利便性の高い歯医者です

お問い合わせ
048-424-7344
診療時間
09:00-12:30
14:00-19:00

休診日:祝 土日は17:30まで
院長の出勤日は月・水・木・金・土(第二水曜日、第四土曜日を除く)
院長をご希望の方はお電話にてお問い合わせくださいませ。

  • 夜19時まで診療
  • 急患も対応OK
埼玉志木駅前歯医者・矯正歯科 コスモクリニック 本院
〒353-0004
埼玉県志木市本町5丁目24−9
Google mapで見る
ドクターズファイル

新型コロナウイルス感染症
に関する当院の対応

当院は感染症に対する徹底した予防対策を行う歯医者です

分院

提携院

【当日予約受付中】お電話にてご連絡ください!