2025.07.23

唇に出来物ができた(粘液貯留嚢胞)

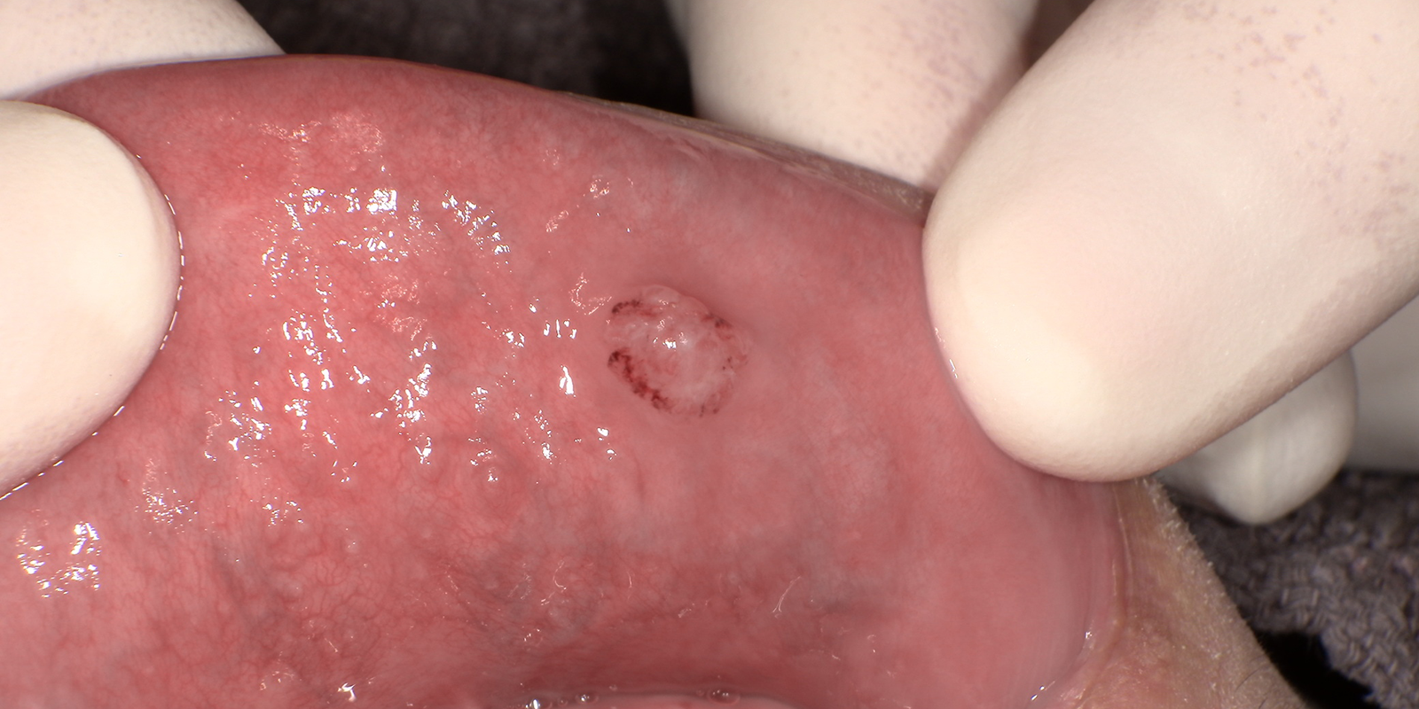
唇を噛んで、出来物が出来てしまった患者様のケース

唇を噛んで、出来物が出来てしまった患者様のケース

唇を噛んでから膨らみが出来て、1週間くらいで潰れたがまたすぐに膨らんできたとのことでした。

これは粘液貯留嚢胞と呼ばれ、唇などにある小さな唾液腺が壊れてしまったり、狭くなったり、閉じてしまうことによって起こります。唾液腺(唾液を送る管のようなもの)に上記のような障害が生じることにより、唾液が管の外に溜まってしまいできる膿疱です。

基本的には、自然に崩壊してまた再発してを繰り返すため摘出が必要になります。局所麻酔を加えて、メスを用いて周囲に切開を加えます。その後慎重に嚢胞を周囲組織より鈍的に剥離、摘出します。創辺縁部付近に小唾液腺の塊が認められる場合は、これらを再発防止のために摘出、清掃します。仕上げに傷口を縫って処置終了です。

唇を噛んで、出来物が出来てしまった患者様のケース

処置時間は5分から10分程度で保険診療内で処置が可能です。

当院では、一般的な歯科診療に加えて、このような外科的症例にも対応しております。転んで唇が切れてしまったり、歯が折れてしまったり、どんな些細なことでも構いません。何かお困りのことがあれば、すぐご連絡ください。

また、そんな外科的疾患への対応で培った技術を用いて当院では、高難度のインプラントオペも多数行なっております。インプラントや口腔外科治療の得意なドクターが多数在籍しておりますので、他院では難しいインプラントケースなどお気軽にご相談ください。

治療期間 来院2回程度
治療費 保険適応
治療のリスク 傷口が瘢痕化するリスク

古田土 靖史

この記事を監修した人

埼玉志木駅前歯医者・矯正歯科 コスモクリニック院長 川村 英史

埼玉志木駅前歯医者・矯正歯科
コスモクリニック 院長

院長の川村は、一般歯科からインプラントなどの専門的な治療まで幅広く診療を行い、地域の皆様の口腔健康をサポートしています。東北大学を卒業後、日本最大のクリニックで臨床経験を積み、2016年に志木駅前歯医者コスモクリニックを開院。患者様一人ひとりに寄り添い、丁寧な説明と安心できる治療を心がけています。インプラント寺子屋2022での講演や、WHITE CROSSでの「インプラント治療におけるデジタルとアナログの融合」など講演活動にも積極的に取り組み、著書「最強の臨床術」も執筆。予防歯科を重視した質の高い歯科医療の提供を通じて、地域に貢献する医療を提供できるよう努めております。

Clinic information

埼玉志木駅前歯医者・矯正歯科
コスモクリニック 本院
志木駅から徒歩1分
利便性の高い歯医者です

お問い合わせ
048-424-7344
診療時間
09:00-12:30
14:00-19:00

休診日:祝 土日は17:30まで
院長の出勤日は月・水・木・金・土(第二水曜日、第四土曜日を除く)
院長をご希望の方はお電話にてお問い合わせくださいませ。

  • 夜19時まで診療
  • 急患も対応OK
埼玉志木駅前歯医者・矯正歯科 コスモクリニック 本院
〒353-0004
埼玉県志木市本町5丁目24−9
Google mapで見る
ドクターズファイル

新型コロナウイルス感染症
に関する当院の対応

当院は感染症に対する徹底した予防対策を行う歯医者です

分院

提携院

【当日予約受付中】お電話にてご連絡ください!