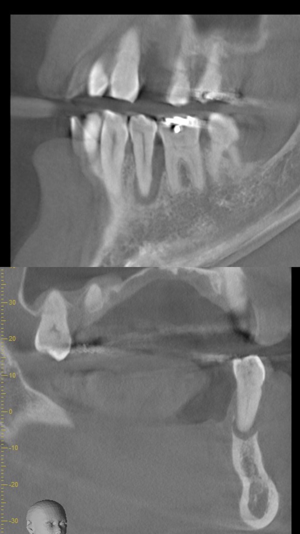
この部分をCTでみてみると、骨の壁がほとんどなくこのままにしておくと、他の歯と同じように自然に抜けてしまう未来が見えます。
先生によっては、抜歯宣告を受けてもおかしくないくらい状態は悪いです。

本日は根管治療と歯周病治療を併用した症例についてご紹介いたします。
上顎の両側4番目の歯が歯周病により、自然に脱落、もう一本は抜け落ちる寸前です。
レントゲンでみると右下5番目(実際は左下5)の歯根の先端が黒く抜けています。この状態は、重度歯周病と根尖性歯周炎(根が膿んでる)が混在しており非常に予後が悪いとされています。
| 主訴 | 歯周病で歯が抜けた、 噛み合わせが合わない |
|---|---|
| 診断名 | 重度歯周病、欠損歯、根尖性歯周炎 |
この部分をCTでみてみると、骨の壁がほとんどなくこのままにしておくと、他の歯と同じように自然に抜けてしまう未来が見えます。
先生によっては、抜歯宣告を受けてもおかしくないくらい状態は悪いです。
という流れがあります。
つまり治療計画としては、
つまり、左下5の根管治療のみしても原因が歯周病か噛み合わせなど複合的なので全てについてアプローチしないと、繰り返しの治療になってしまいます。
短期間で治療が終わることをもちろん目指していますが、歯周病や噛み合わせ・根管治療というのは患者さんと二人三脚で擦り合わせながら着実にゴールを目指していくため、シンプルなう蝕治療よりもちろん時間はかかります。
序章が長くなりましたが、実際の治療解説です。
すべての歯周病治療はここから始まります。
【左下5感染根管治療】と【外科的歯周病治療】
まず根管治療を行いました。精密根管治療が求められましたので、ラバーダム防湿とマイクロスコープは毎回使います。最終的な根管充填剤もMTAと呼ばれる薬剤を選択し、少しでもこの歯を残す治療を行いました。
その後、基本治療をして数値が悪いところ・左下5の周囲は外科的にお掃除します。
左下5が仮歯の間、噛み合わせの治療とし矯正治療を行いました。前歯のがたがたも多少ありましたので、正しいポジションに歯を並べました。排列後は、歯の裏側に保定装置をつけ歯の後戻りや歯周病の揺れの予防に努めます。
噛み合わせの微調整を行います。
レントゲン上で失われた骨が復活したのを確認できるのは、本症例では欠損も大きいので半年はかかりと推定しました。その間は、1ヶ月〜3ヶ月に一度、揺れや歯周ポケットの悪化が起きてないかチェックします。
術前術後のレントゲンでの比較です。明らかに黒く骨欠損が著しかったところが、白く写り良質な骨が復活しているのがわかります。本症例では、骨補填剤は使っていないため全て自家骨での復活です。上顎両側4番目の歯は今後、インプラント治療を行っていく予定です。
私自身も「抜歯しかない、」と言われた歯をどうにか残すことができたときは本当に嬉しいです。しかし、残したくても残念ながら明らかに残すことができない歯や、治療中に揺れが激しくなってきてしまったり、歯根破折してしまい抜歯を行った症例もあります。少しでも歯を残す努力はします。ぜひ患者さんのご理解を得ながら協力していただき、口腔内環境の向上に努めたいと思っております。
根管治療や歯周病治療だけでなく、お口の中で不安なことがありましたらぜひご相談ください。
歯科医師 横江
| 診療時間 | 月 | 火 | 水 | 木 | 金 | 土 | 日 |
|---|---|---|---|---|---|---|---|
| 09:00-12:30 | ● | ● | ● | ● | ● | ● | ● |
| 14:00-19:00 | ● | ● | ● | ● | ● | ※ | ※ |
※休診日:祝 ※土日は17:30まで
※院長の出勤日は月・水・木・金・土(第二水曜日、第四土曜日を除く)
※院長をご希望の方はお電話にてお問い合わせくださいませ。

新型コロナウイルス感染症
に関する当院の対応
当院は感染症に対する徹底した予防対策を行う歯医者です
【当日予約受付中】お電話にてご連絡ください!