Clinic information
埼玉志木駅前歯医者・矯正歯科
コスモクリニック 本院志木駅から徒歩1分!
利便性の高い歯医者です
- お問い合わせ
- 048-424-7344
| 診療時間 | 月 | 火 | 水 | 木 | 金 | 土 | 日 |
|---|---|---|---|---|---|---|---|
| 09:00-12:30 | ● | ● | ● | ● | ● | ● | ● |
| 14:00-19:00 | ● | ● | ● | ● | ● | ※ | ※ |
※休診日:祝 ※土日は17:30まで
※院長の出勤日は月・水・木・金・土(第二水曜日、第四土曜日を除く)
※院長をご希望の方はお電話にてお問い合わせくださいませ。
- 夜19時まで診療
- 急患も対応OK

埼玉県志木市本町5丁目24−9 Google mapで見る
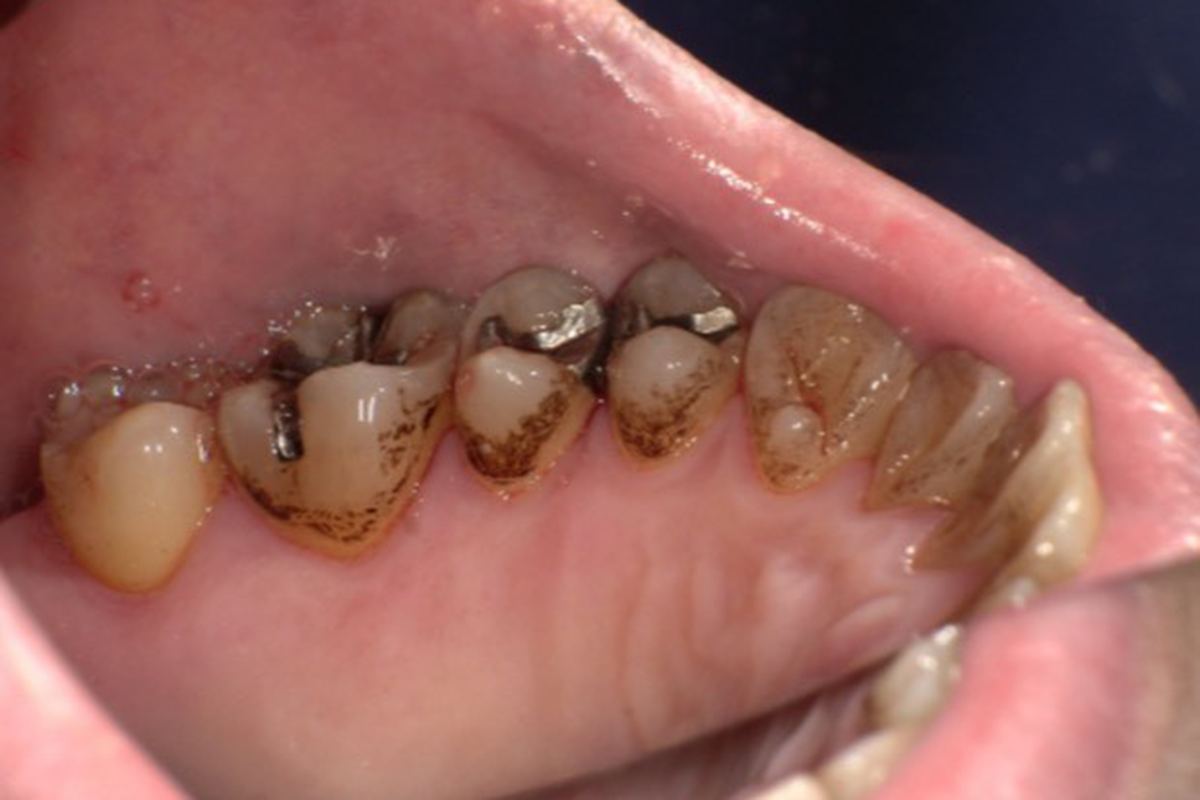
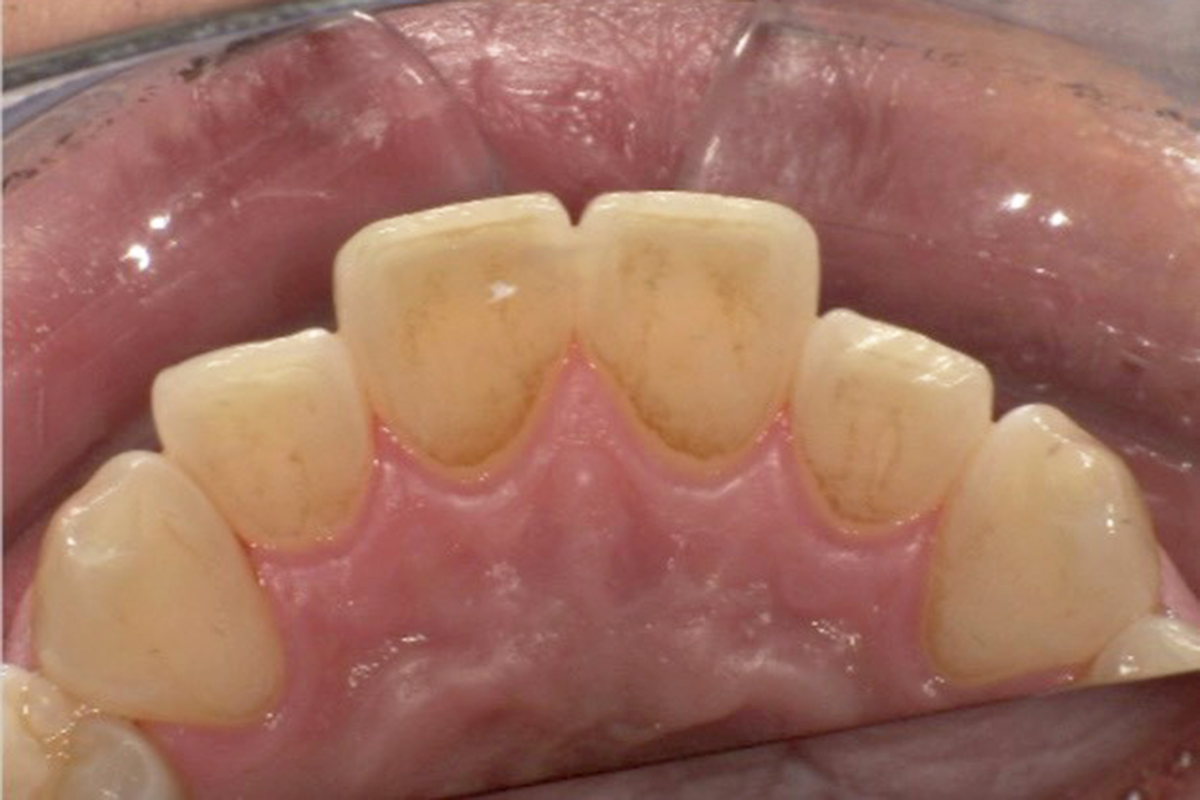
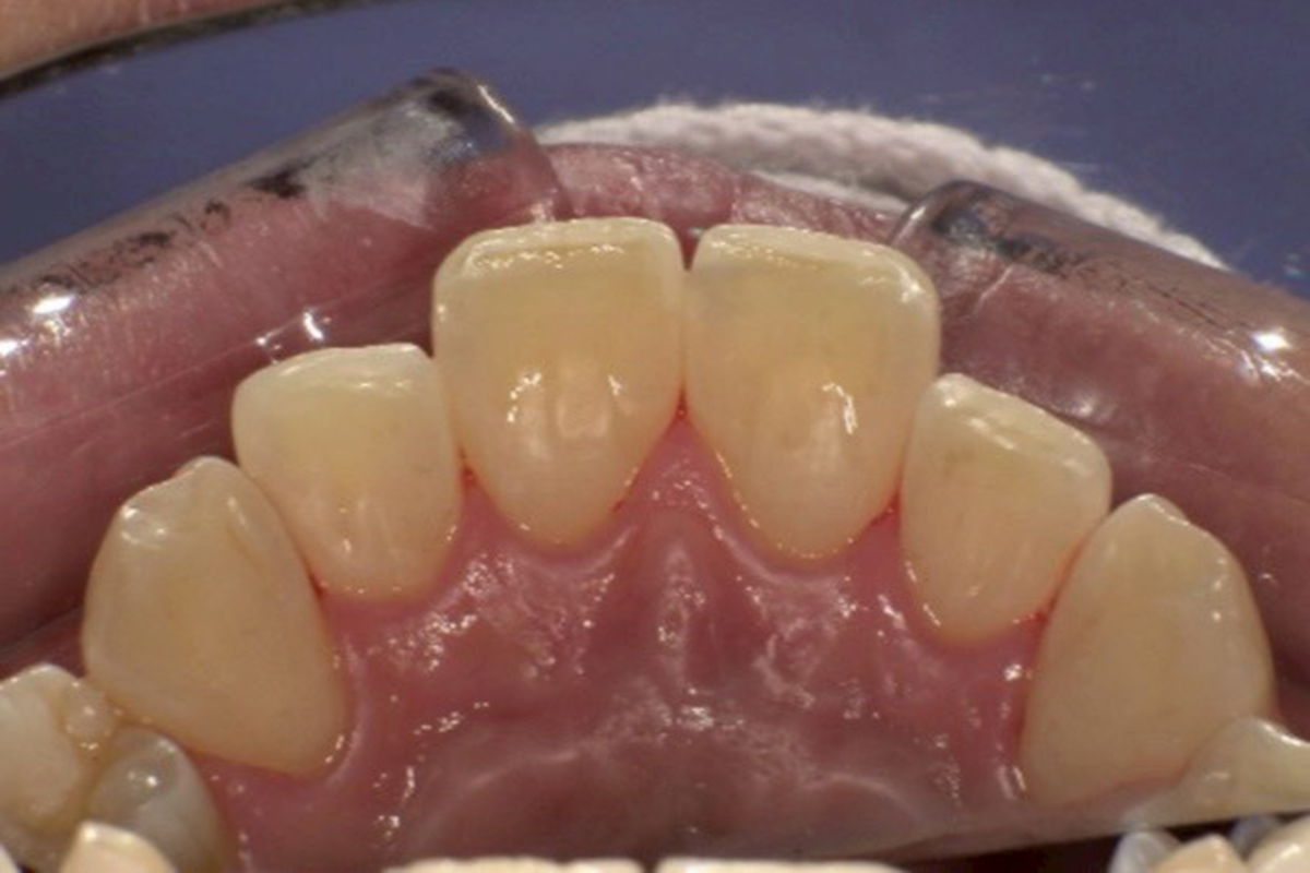
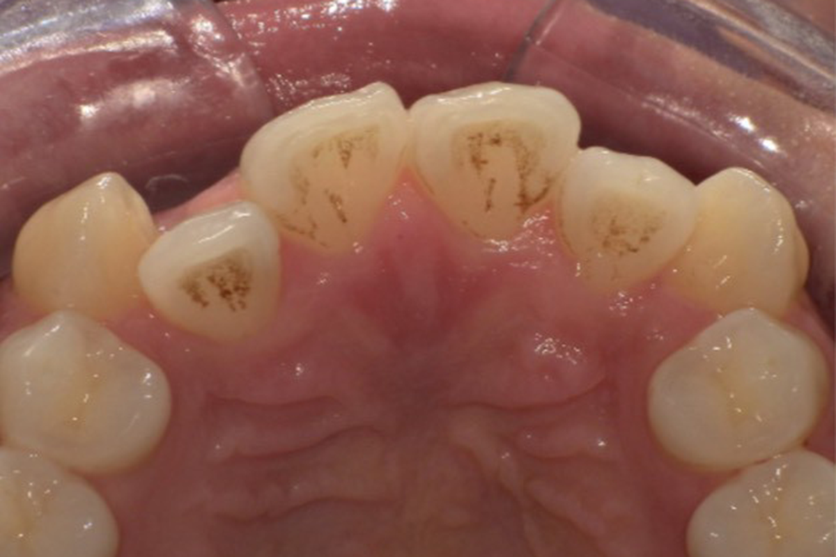
新型コロナウイルス感染症
に関する当院の対応
当院は感染症に対する徹底した予防対策を行う歯医者です





