インプラント埋入部に歯槽頂切開を行い、続いて欠損部隣接歯の歯肉溝切開を行います。必要に応じて、術野の明示のために縦切開を入れることもあります。
左下インプラント埋入のケース

このケースを例に一般的なインプラント埋入(一次オペ)の手順についてご説明致します。
麻酔
まず、局所的な麻酔を行います。通常は局所的な麻酔のみで行うことが多いですが、手術の侵襲の程度や患者様の全身状態に応じて当院専属の麻酔医師の管理のもと静脈内鎮静法(セデーション)を併用した局所麻酔を選択することも可能です。
切開・剥離
切開が終わったら、頬側の粘膜骨膜弁をしっかりと剥離していきます。
インプラント体(フィクスチャー)埋入窩の形成
事前にCTや模型にて計画していたインプラント埋入部位をラウンドバーにて、皮質骨に印記します。ニードルドリルを用いて、埋入位置を穿孔します。続いて、パイロットドリルを用いて埋入窩を拡大していきます。どこまで拡大するかは、患者様の骨の状態によります。形成した埋入窩に深度ゲージを入れて、対合関係や近遠心関係にズレがないか確認をします。ズレはその都度修正を行なっていきます。
縫合
カバースクリューの装着後、粘膜骨膜弁を元の位置に戻します。この時、弁を端まで完全に密着させます。もし、不足していた場合は、粘膜骨膜弁の歯肉-歯槽粘膜境付近内面の骨膜のみを切断して粘膜骨膜弁を伸展させ、弁の断端まで密着させる。これを減張切開といいます。今回は、プラークの付着しやすい絹糸を避け、5-0ナイロンにて縫合を行いました。
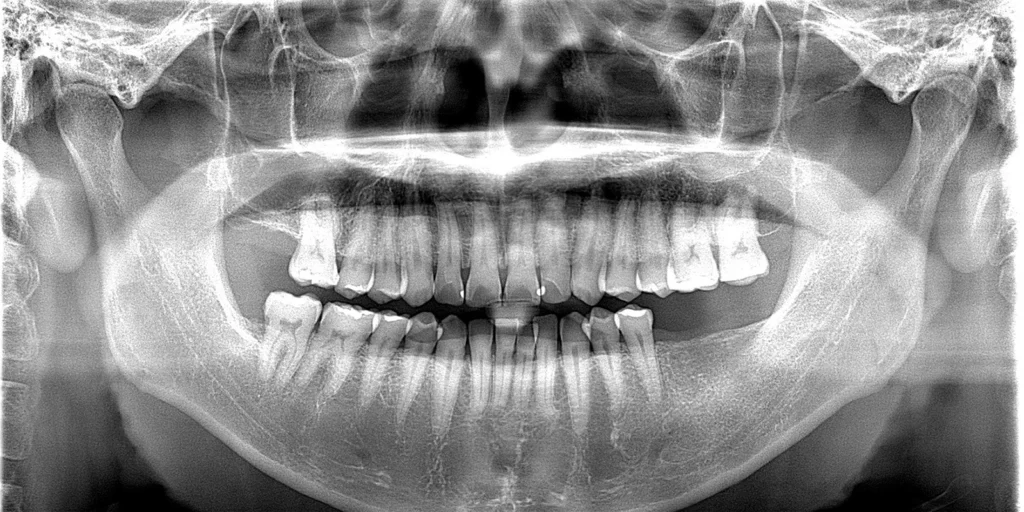
術後のレントゲン写真

今回、ご紹介した手術方法以外にもインプラント手術には、患者様の状態によって様々なオペの方法があります。
また、当院ではインプラントメーカーを複数用意しており、そのそれぞれについて術式は異なります。今回使用したのは、ストローマンというインプラントメーカーのBLXインプラントです。
当院では、初診時より高精度のCTなどを利用した術前診断、患者様への詳細なヒアリングを行い希望を十分に把握した上で、患者様一人ひとりに寄り添うオーダーメイドの治療計画を立てております。
| 治療期間 | 約6ヶ月から1年程度 |
|---|---|
| 治療費 | 自費診療(詳しくはお問い合わせください) |
| 治療のリスク | 周囲炎のリスクがある |
そのほか当院では、他院では難しいようなインプラント症例も豊富なオペ実績を持っております。何かあれば埼玉志木駅前歯医者・矯正歯科 コスモクリニック 本院にいつでもご相談ください。




